一、神经元与胶质细胞反应《病理学》

一、神经元与胶质细胞反应

(一)神经元

神经元是中枢神经系统的基本结构和功能单位,由细胞体和胞突(树突、轴突)构成。其数目估计在百亿以上。神经元常见的病变为:

1.中央性Nissl小体溶解(central chromatolysis)这是一种可逆性变化,病因一旦去除,就可恢复正常,如病变继续发展,则可导致细胞的萎缩和死亡。常见的病因有病毒感染(如脊髓灰质炎病毒)、维生素B属缺乏、坏血病和神经元与轴突断离。病变表现为神经细胞肿胀,丧失典型的多极形状而变为圆形,胞核偏位,胞浆中央的Nissl小体崩溃成为细尘状颗粒,进而完全溶解消失,或仅在细胞周边部有少量残余。胞浆着色浅而呈苍白均质状(图16-1)。

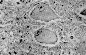
中央Nissl小体溶解

图16-1 中央Nissl小体溶解

神经细胞肿胀,胞核偏位,Nissl小体仅见于细胞周边部

切断实验动物的轴突后,相关的神经细胞即发生典型的中央性Nissl小体溶解,此现象又称轴突反应。此时神经细胞粗面内质网的核蛋白体解聚,成为游离核蛋白体,蛋白质合成加快,因此认为其与轴突再生有关。

2.神经元急性坏死缺血、缺氧、严重急性中毒或感染可引起神经元的死亡。表现为神经细胞核固缩,胞体缩小变形,胞浆Nissl小体消失,呈深伊红色,称为红色神经细胞。如细胞坏死后的酶性分解过程继续发展,则可导致细胞溶解和消失。隐约可见轮廓的死亡细胞称为鬼影细胞(ghost cell)。因缺血引起的神经细胞坏死最常见于大脑皮质的锥体细胞和小脑蒲肯野(Purkinje)细胞(图16-2)。

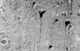
神经细胞缺血性变化

图16-2 神经细胞缺血性变化

细胞缩小呈三角形,Nissl小体消失,胞核浓缩深染

3.神经元的慢性病变为一组特殊的病变,如单纯性萎缩、神经元纤维的缠结、神经细胞胞浆中出现特殊的包含体(如Lewy小体)等。

4.轴索和髓鞘的变化——Waller变性是指神经纤维被切断后,轴索与神经元胞体断离,其远端和部分近端的轴索及其所属髓鞘发生变性、崩解和被吞噬细胞吞噬的过程。与此同时,受累神经元的胞体发生中央性Nissl小体溶解。除了机械性损伤外,任何其他原因只要能造成神经元胞体与轴索断离者(如循环障碍所致的大脑皮质梗死)均可发生Waller变性,其整个过程包括:①轴索变性,表现为远端轴索肿胀、断裂、崩解、被吞噬细胞吞噬消化;近端的轴索则随后再生并向远端延伸;②髓鞘脱失,髓鞘崩解所形成的脂质和中性脂肪,可被苏丹Ⅲ染成红色。③细胞反应,表现为吞噬细胞反应性增生,吸收崩解产物。周围神经断端远侧Schwann细胞(许旺细胞)反应性增生;而在中枢神经系统则为少突胶质细胞增生,两者均参与再生轴突的重新髓鞘化过程(图16-3)。

Waller变性模式图 (采自Escourolle)

图16-3 Waller变性模式图 (采自Escourolle)

(二)神经胶质细胞

神经胶质细胞包括星形胶质细胞、少突胶质细胞和室管膜细胞,其总数是神经元的5倍,其基本病变概括如下:

1.星形胶质细胞

(1)星形胶质细胞增生:常见的致病原因如缺氧、低血糖、感染、中毒等均能引起脑组织的损伤而导致星形胶质细胞增生。反应性星形胶质细胞增生是脑组织损伤的修补愈合反应,主要表现为纤维型星形胶质细胞增生,最后成为胶质瘢痕,胶质纤维酸性蛋白(GFAP)染色呈强阳性(图16-4)。胶质瘢痕与纤维瘢痕不同之处在于星形胶质细胞并不产生胶原纤维及相应间质蛋白。胶持瘢痕是由星形胶质细胞突起构成,其机械强度不如胶原瘢痕。

反应性星形胶质细胞增生(GFAP染色)

图16-4 反应性星形胶质细胞增生(GFAP染色)

左上角为脑毁损病灶

(2)星形胶质细胞肥大:表现为细胞体积增大,胞浆丰富,呈伊红着色,胞核偏位。电镜下可见胞浆中充满线粒体、内质网、空泡、高尔基器、溶酶体和胶质纤维。肥胖星形胶质细胞(gemistocytic astrocyte)多发生在脑的局部缺氧、水肿、梗死、脓肿或肿周围。

2.少突胶质细胞少突胶质细胞的病变常表现为髓鞘的改变,白质营养不良(髓鞘形成障碍)和脱髓鞘疾病如多发性硬化为其代表。此类胶质细胞对各种损害(缺氧、中毒等)所表现的急性肿胀、核周空晕,目前认为可能是一种自溶性变化。此外神经元胞体周围被5个以上少突胶质细胞围绕称为卫星现象(satellitosis),与神经元损害的程度和时间并无明显的关系,其意义尚不清楚。

3.室管膜细胞室管膜细胞覆盖在脑室系统内面,各种致病因素均可引起局部室管膜细胞丢失,随之室管膜下的星形胶质细胞增生,充填缺损,并形成多数小颗粒向脑室突出,称为颗粒性室管膜炎(图16-5)。巨细胞病毒感染时,室管膜细胞中往往可有病毒包含体出现。

颗粒性室管膜炎

图16-5 颗粒性室管膜炎

局部室管膜细胞丢失,增生的胶质细胞隆起,形成小颗粒

(三)小胶质细胞

小胶质细胞属单核吞噬细胞系统,其对损害之反应表现为:①激活形成巨噬细胞,包围、浸润和吞噬坏死神经元,称为噬神经细胞现象(neuronophagia),吞噬后胞浆中常出现大量小脂滴,常规石蜡切片,HE染色呈空泡状,又称格子细胞或泡沫细胞,苏丹染色呈阳性反应;②局灶性增生形成胶质结节,常见于各种炎症,特别是病毒性脑炎;③杆状细胞形成,见于慢性进行性损害(如脑晚期梅毒),表现为细胞增生、胞体变窄、胞突减少并呈双极杆状。

上一页:第十六章 神经系统疾病
当前页:一、神经元与胶质细胞反应
下一页:二、常见的并发症

返回目录